Levenhuk Deney Lamları (İngilizce)
The brand new Levenhuk N38 Prepared Microscope Slides Set includes two kits of experiment slides — Levenhuk N18 and Levenhuk N20.
First, we will discuss the Levenhuk N18 Prepared Microscope Slides Set. It includes slides for botanical and zoological studies.
In the kit, you will find the following: onion peel, wheat weevil, root cap, lime twig, anther, plant ovary, camellia, geranium leaf epidermis, bee limb, bee wing, Cyclops, Volvox, Euglena, Paramecium caudatum, earthworm (cross-section), mosquito mouthparts, Ascaris, Daphnia.
The slides are stored in a cardboard box, which protects them from damage during storage and transportation. The legend lists slides from both Levenhuk N18 and Levenhuk N20 Prepared Microscope Slides Set.
The slides are prepared with great care. There are no glue streaks or chips on the slides or cover glass. The specimens are well-placed, without any cracks in the fixing fluid or any significant contamination of the specimens themselves.
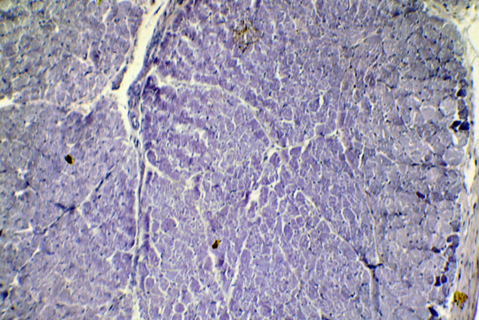
The range of slides is rather impressive, so this kit would be a perfect gift for schoolchildren. Below are the images of all the slides in Levenhuk N18 Prepared Microscope Slides Set. The images were made with a Levenhuk 50L NG Microscope and a Canon 350D camera.
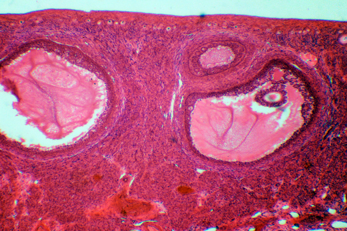
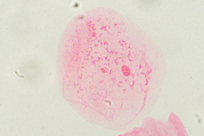
Now, let’s take a look at Levenhuk N20 Prepared Microscope Slides Set. It includes slides for biological and physiological studies. The packaging and quality of the slides are on par with Levenhuk N18, which we looked at earlier. However, the “Striated muscles” slide actually has two different specimens in it.
The Levenhuk N20 Prepared Microscope Slides Set includes the following: striated muscles, mammalian sperm cells, cross-section of a nerve, loose connective tissue, mammalian oocyte, nerve cells, hyaline cartilage, smooth muscles, bone tissue, frog blood, human blood, simple epithelium, Drosophila mutation (wingless), Drosophila mutation (black body), normal Drosophila, animal cell, plant cell, mucor mold, fragmentation of the egg, onion root mitosis.
Below are the images of all the slides in Levenhuk N20 Prepared Microscope Slides Set. The images were made with a LOMO MicMedvo-1 Var. 2-20 microscope and a Canon 350D camera.
Materyallerin herhangi bir bilgi ortamında ve herhangi bir biçimde kamuya açık olarak çoğaltılması yasaktır. tr.levenhuk.com adresine etkin bağlantı ile bu makaleye bakabilirsiniz.
Üretici, fiyatta, ürün serisinde ve teknik özelliklerinde önceden bildirimde bulunmaksızın değişiklik yapma ya da ürünleri üretimden kaldırma hakkını saklı tutar.












































